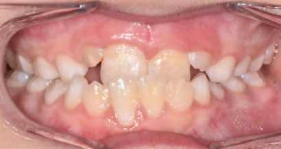
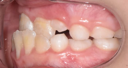
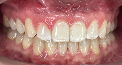
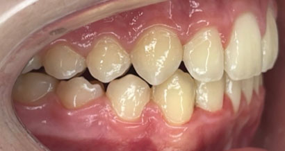
Smile gallery: beautiful smiles worth sharing
At Bayside Orthodontists, we love improving our patients’ dental health and love sharing their orthodontic treatment journey. View some of the smiles we have successful transformed







Start your beautiful smile journey today
Start your journey to an affordable, beautiful new smile. Book your consultation at Bayside Orthodontists today.





























